
Medical Terminology Daily (MTD) is a blog sponsored by Clinical Anatomy Associates, Inc. as a service to the medical community. We post anatomical, medical or surgical terms, their meaning and usage, as well as biographical notes on anatomists, surgeons, and researchers through the ages. Be warned that some of the images used depict human anatomical specimens.
You are welcome to submit questions and suggestions using our "Contact Us" form. The information on this blog follows the terms on our "Privacy and Security Statement" and cannot be construed as medical guidance or instructions for treatment.
We have 1488 guests online
Georg Eduard Von Rindfleisch
(1836 – 1908)
German pathologist and histologist of Bavarian nobility ancestry. Rindfleisch studied medicine in Würzburg, Berlin, and Heidelberg, earning his MD in 1859 with the thesis “De Vasorum Genesi” (on the generation of vessels) under the tutelage of Rudolf Virchow (1821 - 1902). He then continued as a assistant to Virchow in a newly founded institute in Berlin. He then moved to Breslau in 1861 as an assistant to Rudolf Heidenhain (1834–1897), becoming a professor of pathological anatomy. In 1865 he became full professor in Bonn and in 1874 in Würzburg, where a new pathological institute was built according to his design (completed in 1878), where he worked until his retirement in 1906.
He was the first to describe the inflammatory background of multiple sclerosis in 1863, when he noted that demyelinated lesions have in their center small vessels that are surrounded by a leukocyte inflammatory infiltrate.
After extensive investigations, he suspected an infectious origin of tuberculosis - even before Robert Koch's detection of the tuberculosis bacillus in 1892. Rindfleisch 's special achievement is the description of the morphologically conspicuous macrophages in typhoid inflammation. His distinction between myocardial infarction and myocarditis in 1890 is also of lasting importance.
Associated eponyms
"Rindfleisch's folds": Usually a single semilunar fold of the serous surface of the pericardium around the origin of the aorta. Also known as the plica semilunaris aortæ.
"Rindfleisch's cells": Historical (and obsolete) name for eosinophilic leukocytes.
Personal note: G. Rindfleisch’s book “Traité D' Histologie Pathologique” 2nd edition (1873) is now part of my library. This book was translated from German to French by Dr. Frédéric Gross (1844-1927) , Associate Professor of the Medicine Faculty in Nancy, France. The book is dedicated to Dr. Theodore Billroth (1829-1894), an important surgeon whose pioneering work on subtotal gastrectomies paved the way for today’s robotic bariatric surgery. Dr. Miranda.
Sources:
1. "Stedmans Medical Eponyms" Forbis, P.; Bartolucci, SL; 1998 Williams and Wilkins
2. "Rindfleisch, Georg Eduard von (bayerischer Adel?)" Deutsche Biographie
3. "The pathology of multiple sclerosis and its evolution" Lassmann H. (1999) Philos Trans R Soc Lond B Biol Sci. 354 (1390): 1635–40.
4. “Traité D' Histologie Pathologique” G.E.
Rindfleisch 2nd Ed (1873) Ballieres et Fils. Paris, Translated by F Gross
"Clinical Anatomy Associates, Inc., and the contributors of "Medical Terminology Daily" wish to thank all individuals who donate their bodies and tissues for the advancement of education and research”.
Click here for more information
- Details
The scaphoid is one of the proximal carpal bones that form the wrist. The name arises from the Greek [scaphe], meaning "boat"; and [-oid], meaning "similar to". The scaphoid bone roughly resembles a rowboat. It is also known as the navicular bone (from the Latin [navis] meaning "boat"), and os naviculare manus.
Proximally, the scaphoid bone articulates with the radius. Distally, the scaphoid articulates with the trapezium and trapezoid bones. On its medial aspect, the scaphoid bone has two articular surfaces for the lunate and the hamate bones. The scaphoid bone also has very strong ligamentous connections with the lunate bone by way of the scapholunate interosseous ligament
The accompanying image shows the anterior (volar) surface of the wrist.
Image modified from the original: "3D Human Anatomy: Regional Edition DVD-ROM." Courtesy of Primal Pictures
- Details
The terms [medial] and [lateral] are opposing anatomical relationship terms that indicate the location of a structure or structures in relation to the midline or median plane. The accompanying image depicts the median plane.
The term "midline" is a bit of a misnomer, as this is a plane and not a line, although if you look at the median plane from the anterior or posterior aspect of an individual in the anatomical position, you would have a line, ergo, midline! Look at this article on the anatomical position to see an explanation and image of this concept.
The term [medial] means "closer to the midline". An example of the use of this term is: "the head of the clavicle is medial to the shoulder joint", that is, the head of the clavicle is closer to the midline than the shoulder joint.
The term [lateral] means "further from the midline". An example of the use of this term is: "the wrist joint is lateral to the elbow joint", that is, the wrist joint is further away from the midline than the elbow joint.
Click on the image for a visual explanation of the concepts of "medial" and "lateral".
Images property of: CAA.Inc. Artist: Victoria G. Ratcliffe
- Details

External view of the occipital bone
The term [inion] is Greek [ινιον] and originally referred to the posterior aspect of the neck or occiput and its musculature and strength, as mentioned in the Iliad.
The term fell in disuse for hundreds of years, until it was resurrected by Peter Paul Broca (1824-1880) as a craniometric point. The inion is the midline protuberance in the posteroinferior aspect of the external surface of the occipital bone. Today, in most anatomy texts the inion is referred to as the "external occipital protuberance"
The inion is found at the intersection of three bony lines that are easily palpable, the bilaterally situated superior nuchal line, and the median nuchal line. It is labeled "Ext. occip. protuberance" (see accompanying image). There is a corresponding internal occipital protuberance in the internal aspect of the occipital bone.
Sources:
1. "The Origin of Medical Terms" Skinner, HA 1970 Hafner Publishing Co.
2. "Medical Meanings - A Glossary of Word Origins" Haubrich, WD. ACP Philadelphia
3 "Tratado de Anatomia Humana" Testut et Latarjet 8 Ed. 1931 Salvat Editores, Spain
4. "Anatomy of the Human Body" Henry Gray 1918. Philadelphia: Lea & Febiger
Image modified by CAA, Inc. Original image by Henry Vandyke Carter, MD., courtesy of bartleby.com
- Details
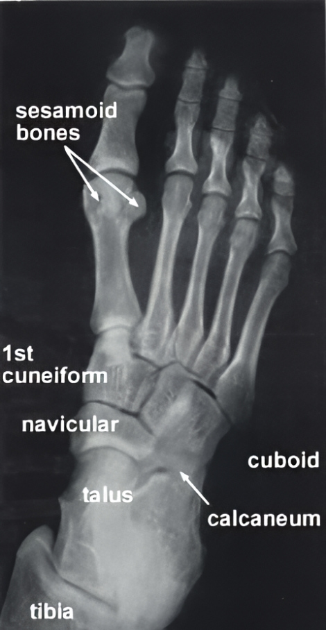
The word [sesamoid] means "similar to a sesame". First used by Galen c.180AD, he describes small ovoid bones that are "similar to a sesame seed", referencing the seed of the plant sesamum indicum, the oil of which was used as a laxative at that time.
Sesamoid bones are found in the tendons of some muscles and are mostly inconstant. Largey and Bonnet proposed a classification for these bones as: accessory, capsuloligamentous, intratendineous, and mixed.
Of special interest to this article are the sesamoid bones found within the two tendons of the flexor hallucis brevis muscle in the base of the foot (see accompanying X-ray image). These bones, especially the medial sesamoid bone, was attributed religious, mystical, and magical powers since ancient times. This is due to the fact that this small bone is highly resistant to natural decomposition. A Hebrew medical text dated 210 BC, attributed to Ushaia presented a small bone he called "luz" as the "depository of the soul". Many other authors, including Vesalius (who called it Albadaran), believed that upon resurrection, the whole body could reform from this "seed" bone.
This belief was later reinforced by religious texts into the early Renaissance which stated that this bone was indestructible and its presence was enough to guarantee resurrection for believers.
Note: The original X-ray was published here courtesy of Wesley Norman, PhD in his website. The website is no longer available, so the image is now in the public domain via www.archive.org.
Sources:
1. "Les os sesamoides de l’hallux : du mythe a`la fonction" Largely,A; Bonnel, BE Med Chir Pied 2008 24: 28–38
2. "Tratado de Anatomia Humana" Testut et Latarjet 8 Ed. 1931 Salvat Editores, Spain
3. "De Humani Corporis Fabrica" Vesalius, Andrea. 1543 Oporinus
Thanks to the first year medical students at the University of Cincinnati who inspired this article. Dr. Miranda
- Details
This article is part of the series "A Moment in History" where we honor those who have contributed to the growth of medical knowledge in the areas of anatomy, medicine, surgery, and medical research.

Ignaz Semmelweis
Ignaz Semmelweis, MD (1818- 1865). Born in Budapest as Ign?c F?l?p Semmelweis, he started his university studies as a lawyer, but changed to Medicine and in 1844, at the age of 26, attained his MD degree. in 1847 he was appointed as an assistant in Obstetrics, almost at the same time of the death of a friend (Kolletschka, a pathologist) who died of what appeared to be "puerperal fever", also known as "childbed fever" after being accidentally stabbed by a knife during the autopsy of a female who had died of that disease. Semmelweis reasoned that the disease somehow was transmitted via the wound and started a crusade to have surgeons and students clean their hands with a carbolized solution before examining a healthy pregnant woman.
Although the obstetric wards under his care reduced the rate of this disease to almost nothing, Semmelweis endured criticism from his teachers, colleagues, and peers, and he did not make any friends by calling "murderers" those who did not follow his ideas. murderers". An excerpt of a letter to one of this detractors reads: "I denounce you before God and the world as a murderer and the history of puerperal fever will not do you an injustice when for the service of having been the first to oppose my life-saving technique it perpetuates your name as a medical Nero". He did not publish his findings until later in life, and then received even more criticism.
In 1865 was committed to an mental asylum only to die a few days later. He was only 47 years old. The same year he died Joseph Lister performed the first operations using antiseptic technique.
Sources:
1. Newsom S." Pioneers in Infection Control - Semmelweis, Ignaz Philipp". The Journal of hospital infection. 1993-03-01;23:175-187.
2. Ellis, H. (2008). Ignaz Semmelweis: tragic pioneer in the prevention of puerperal sepsis. British Journal Of Hospital Medicine (London, England: 2005), 69(6), 358
3. " A Corner of History: Ignaz Philipp Semmelweis" Wynder, EL Prev Med 3" (4) Dec 1974, 574-580
4. "Ignaz Semmelweis; a hand-washing pioneer" P. Rangapa JAPI May 2010 58:328
Original image courtesy of Images from the History of Medicine
- Details
The term [muscle] arises from the Latin word [musculus] which derives from the Latin term [mus] meaning "mouse". We can only guess that, just as today, Roman fathers would show their biceps and forearm muscles to their children and tried to make them believe a mouse had gotten under their skin!. The root term for muscle is [-my-]. The corresponding combining form is [-myo-].
There are three types of muscle in the human body:
- Skeletal muscle: it is typical of muscles related to bones (skeletal) and they are voluntary.
- Smooth muscle: found in organs that act without volition (involuntary), such as the digestive system and glands.
- Cardiac muscle: found exclusively in the heart.
Skeletal and cardiac muscles have distinct striations visible under a microscope.
Muscles are formed by subunits, each one surrounded by a named membrane. One of the suffixes that means layer or membrane is [-sium]:
- Epimysium: Epi=outer; my=muscle; sium=membrane. The outer or external membrane (layer) of a muscle
- Perimysium: Peri=around; my=muscle; sium=membrane. A membrane around a muscle
- Endomysium: Endo= inner or internal; my=muscle; sium=membrane. The inner or internal membrane of a muscle-
Original image courtesy of Wikipedia. Click on the image for a larger version.




